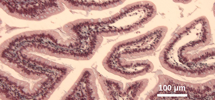
Elepitelio intestinalpresenta pliegues en forma de dedos denominadosvellosidades(vellosidad, en singular). El propósito principal de las vellosidades es aumentar el área de superficie del intestino delgado, lo que es esencial para la absorción eficiente de nutrientes.
Las vellosidades pueden tener varios milímetros de longitud y están formadas por miles de células. Las vellosidades están sostenidas por lalámina propia, una capa fina de tejido conectivo, constituida sobre todo por macromoléculas extracelulares, como proteoglicanos, polisacáridos y colágeno. Esta red de fibras es interceptada por vasos sanguíneos y linfáticos, que se llevan los nutrientes absorbidos.
No hay que confundir las vellosidades con las extensiones celulares microscópicas llamadas microvellosidades.

Figura 1:Imagen de microscopía óptica de vellosidades.