L '肠上皮细胞这是replié一艘船à这艘船的名字villosites.villosités的主要目的是增加肠道表面grêle,这是对营养物质的吸收效果的关键。
villosités单位为单位millimètres单位为单位constituées单位为单位。这里是南部固有层, UN réseau lâche组织的基本原理composé de macromolécules胞外多糖告诉protéoglycane,多糖和collagène。réseau是血液和淋巴输送的intercepté营养物质absorbés。
Les villosités ne doivent pas être conconfess avec蜂窝显微镜的扩展appeléesmicrovillosites.

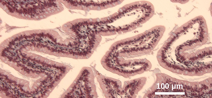
图1:图片villosités en显微镜光学镜片。